人間は本当に奇妙な生き物であり、信じられないほど奇妙なことが私たちに起こる可能性があります。これらの X 線写真は、すべてを見てきたと思っている人でも衝撃を受けるでしょう。
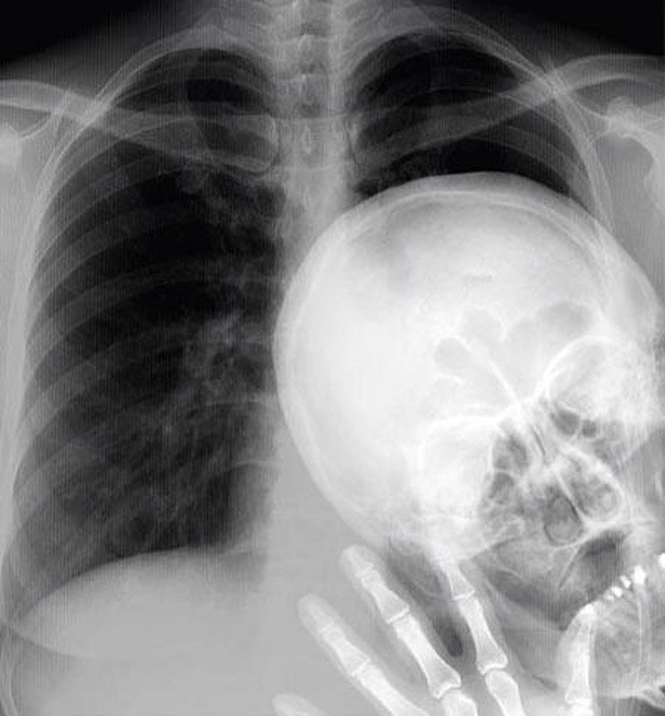
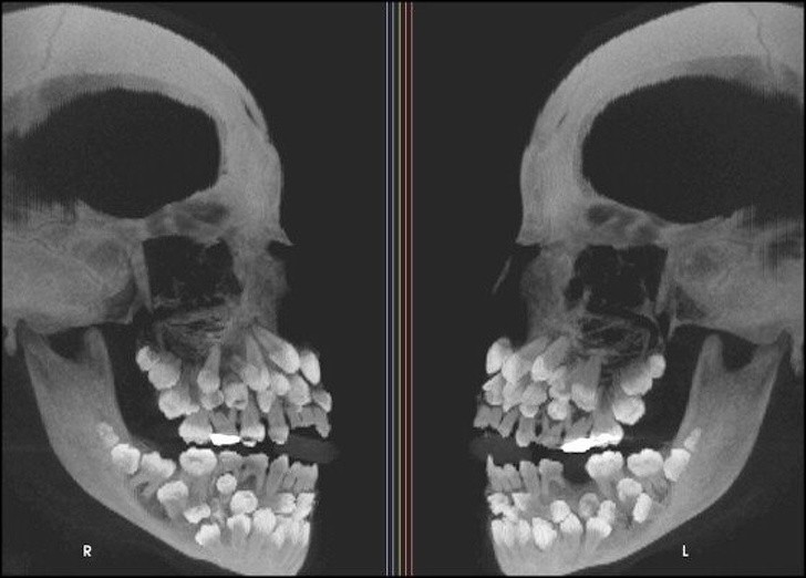
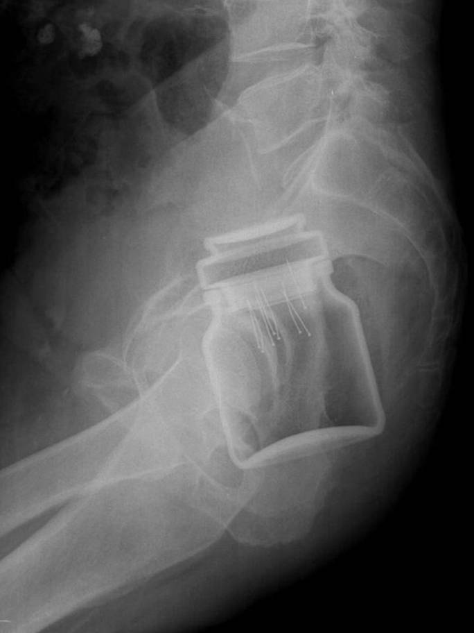
Rentgen je eden najboljših izumov človeštva in v nekaterih situacijah je nepogrešljiv. Še posebej zato, ker se velikokrat zgodi, da ljudje, še posebno otroci, požirajo predmete, ki niso del dnevne prehrane. Da ne omenjamo psov, ki poskušajo prežvečiti vse, kar vidijo, in tako velikokrat pogoltnejo neprimerne stvari.
Radiologi so tako že precej navajeni, da na rentgenskih posnetkih vidijo čudne stvari in nekatere izmed teh, ki smo jih za vas zbrali v galeriji, jih sploh niso presenetile. Tukaj je 15+ odštekanih in na trenutke šokantnih rentgenskih posnetkov.





