人类确实是奇怪的生物,令人难以置信的奇怪的事情可能会发生在我们身上。这些 X 射线甚至会让那些自认为已经看过这一切的人感到震惊。
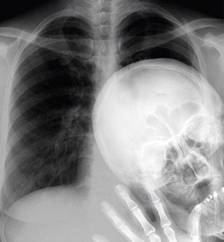
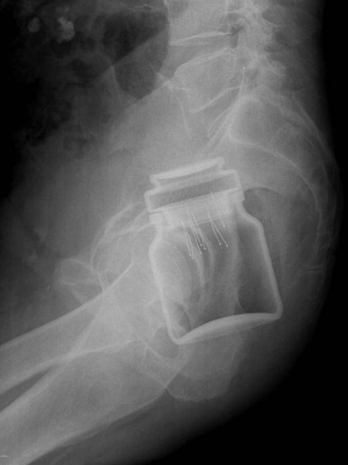
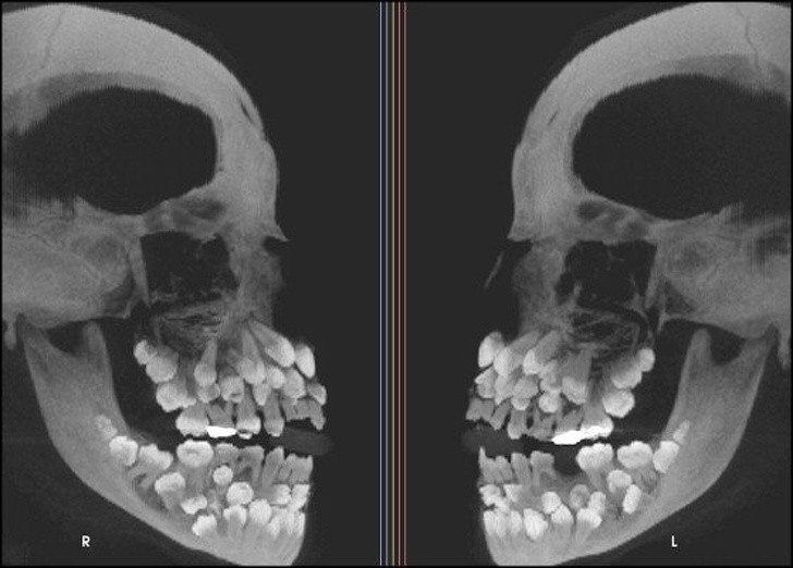
Rentgen je eden najboljših izumov človeštva in v nekaterih situacijah je nepogrešljiv. Še posebej zato, ker se velikokrat zgodi, da ljudje, še posebno otroci, požirajo predmete, ki niso del dnevne prehrane. Da ne omenjamo psov, ki poskušajo prežvečiti vse, kar vidijo, in tako velikokrat pogoltnejo neprimerne stvari.
Radiologi so tako že precej navajeni, da na rentgenskih posnetkih vidijo čudne stvari in nekatere izmed teh, ki smo jih za vas zbrali v galeriji, jih sploh niso presenetile. Tukaj je 15+ odštekanih in na trenutke šokantnih rentgenskih posnetkov.





