Ludzie to naprawdę dziwne stworzenia i mogą nam się przytrafiać niewiarygodnie dziwne rzeczy. Te prześwietlenia rentgenowskie zszokują nawet tych, którym wydaje się, że widzieli już wszystko.
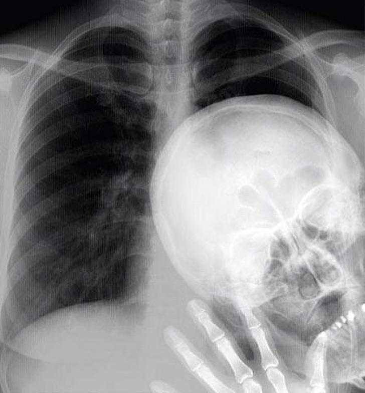
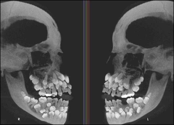
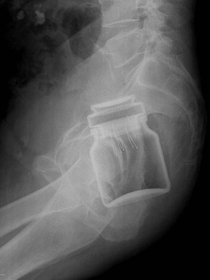
Rentgen je eden najboljših izumov človeštva in v nekaterih situacijah je nepogrešljiv. Še posebej zato, ker se velikokrat zgodi, da ljudje, še posebno otroci, požirajo predmete, ki niso del dnevne prehrane. Da ne omenjamo psov, ki poskušajo prežvečiti vse, kar vidijo, in tako velikokrat pogoltnejo neprimerne stvari.
Radiologi so tako že precej navajeni, da na rentgenskih posnetkih vidijo čudne stvari in nekatere izmed teh, ki smo jih za vas zbrali v galeriji, jih sploh niso presenetile. Tukaj je 15+ odštekanih in na trenutke šokantnih rentgenskih posnetkov.





