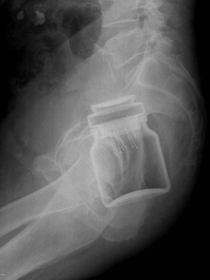
Humans are truly strange creatures and incredibly bizarre things can happen to us. These x-rays will shock even those who think they've seen it all.
X-ray it is one of the best inventions of mankind and in some situations it is indispensable. Especially because it often happens that people, especially children, they swallow objects that are not part of their daily diet. Not to mention the dogs who try to chew everything in sight and thus often end up swallowing inappropriate things.
Radiologists are already quite accustomed to seeing on X-rays strange things and some of these that we have collected for you in the gallery did not surprise them at all. Here is 15+ hacked and sometimes shocking x-rays.





