Los humanos somos criaturas verdaderamente extrañas y nos pueden pasar cosas increíblemente extrañas. Estas radiografías sorprenderán incluso a aquellos que creen que lo han visto todo.
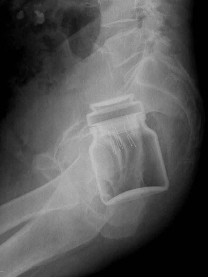
radiografía es uno de los mejores inventos de la humanidad y en algunas situaciones es indispensable. Sobre todo porque a menudo sucede que las personas, especialmente los niños, tragan objetos que no forman parte de su dieta diaria. Por no hablar de los perros que intentan masticar todo lo que tienen a la vista y, por lo tanto, muchas veces terminan tragando cosas inapropiadas.
Los radiólogos ya están bastante acostumbrados a ver en las radiografías cosas extrañas y algunos de estos que hemos recopilado para ti en la galería no les sorprendieron en absoluto. Aquí está Más de 15 radiografías pirateadas y, a veces, impactantes.





