Mennesker er virkelig rare skapninger og utrolig bisarre ting kan skje med oss. Disse røntgenbildene vil sjokkere selv de som tror de har sett alt.
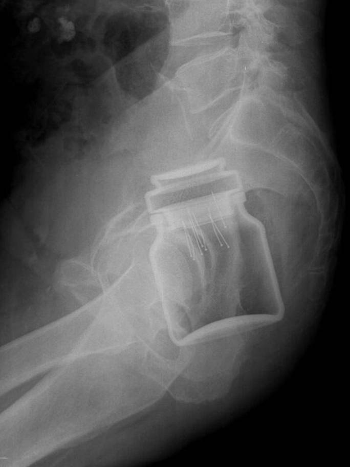
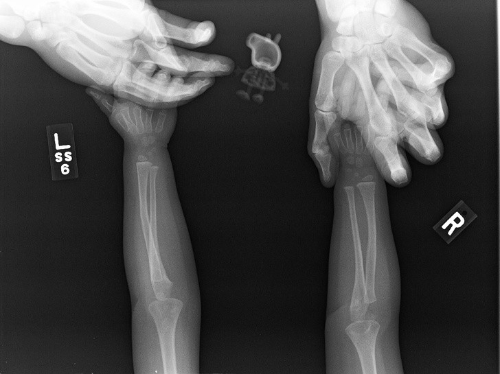
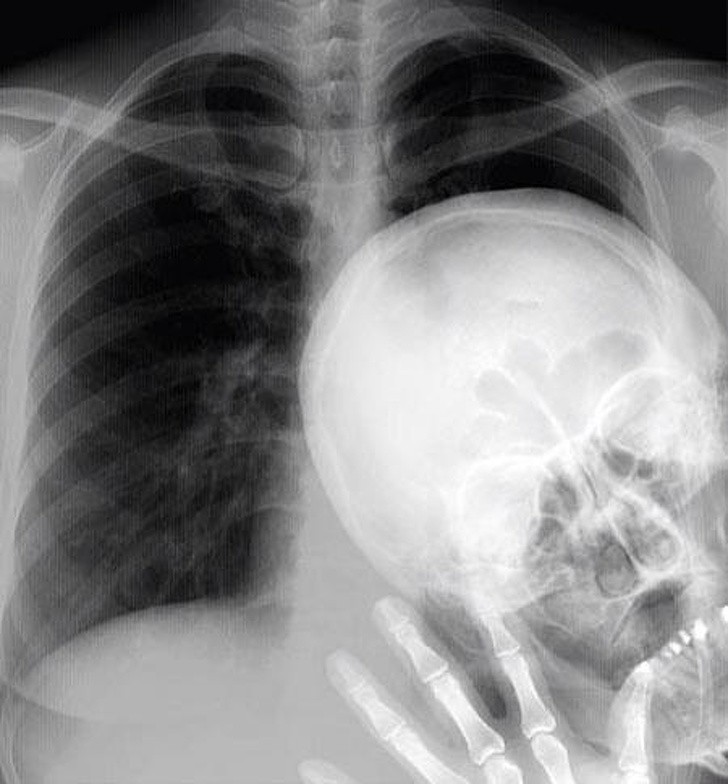
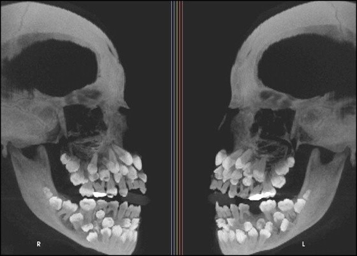
Røntgen det er en av menneskehetens beste oppfinnelser og i noen situasjoner er det uunnværlig. Spesielt fordi det ofte skjer at mennesker, spesielt barn, de svelger gjenstander som ikke er en del av deres daglige kosthold. For ikke å snakke om hunder som prøver å tygge alt i sikte og dermed ofte ender opp med å svelge upassende ting.
Radiologer er allerede ganske vant til å se på røntgen merkelige ting og noen av disse som vi har samlet for deg i galleriet overrasket dem ikke i det hele tatt. Her er den 15+ hackede og noen ganger sjokkerende røntgenbilder.





