Os humanos são criaturas verdadeiramente estranhas e coisas incrivelmente bizarras podem acontecer conosco. Essas radiografias vão chocar até mesmo aqueles que pensam que já viram de tudo.
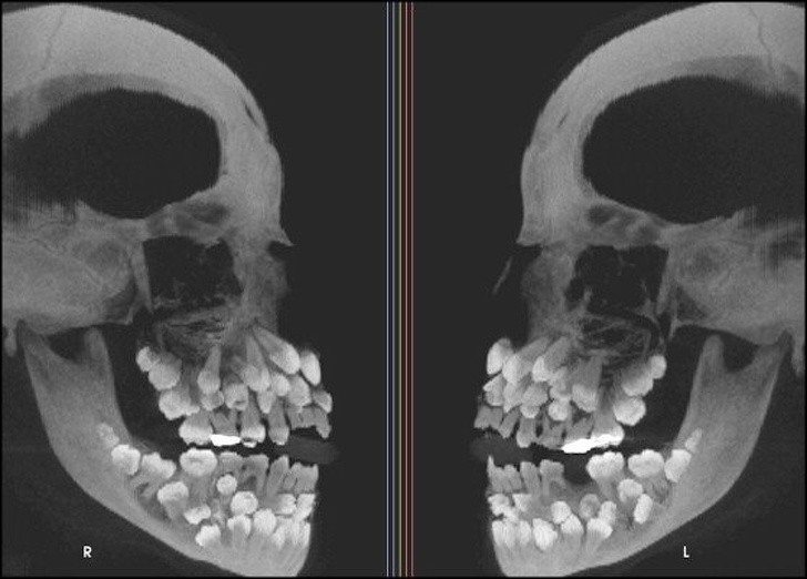
Rentgen je eden najboljših izumov človeštva in v nekaterih situacijah je nepogrešljiv. Še posebej zato, ker se velikokrat zgodi, da ljudje, še posebno otroci, požirajo predmete, ki niso del dnevne prehrane. Da ne omenjamo psov, ki poskušajo prežvečiti vse, kar vidijo, in tako velikokrat pogoltnejo neprimerne stvari.
Radiologi so tako že precej navajeni, da na rentgenskih posnetkih vidijo čudne stvari in nekatere izmed teh, ki smo jih za vas zbrali v galeriji, jih sploh niso presenetile. Tukaj je 15+ odštekanih in na trenutke šokantnih rentgenskih posnetkov.





