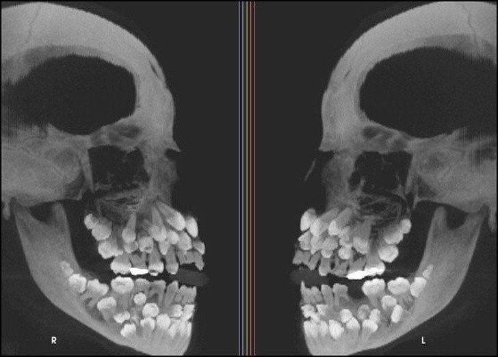
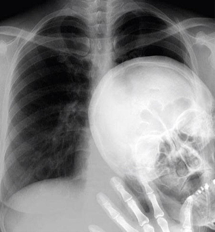
Mensen zijn werkelijk vreemde wezens en er kunnen ongelooflijk bizarre dingen met ons gebeuren. Deze röntgenfoto's zullen zelfs degenen shockeren die denken dat ze alles hebben gezien.
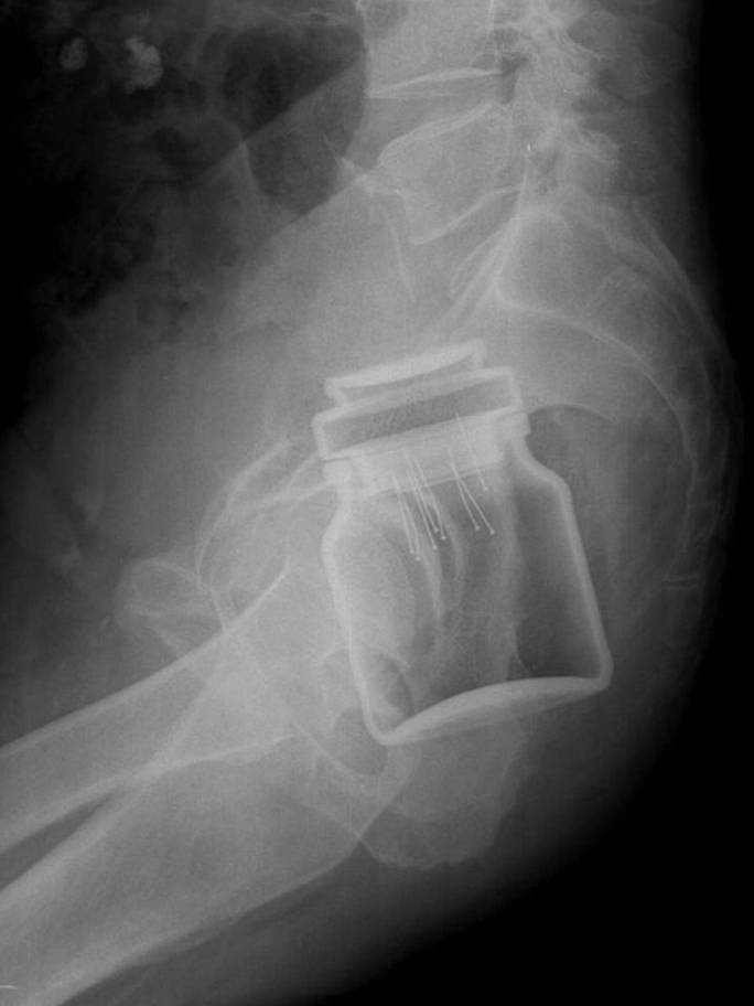
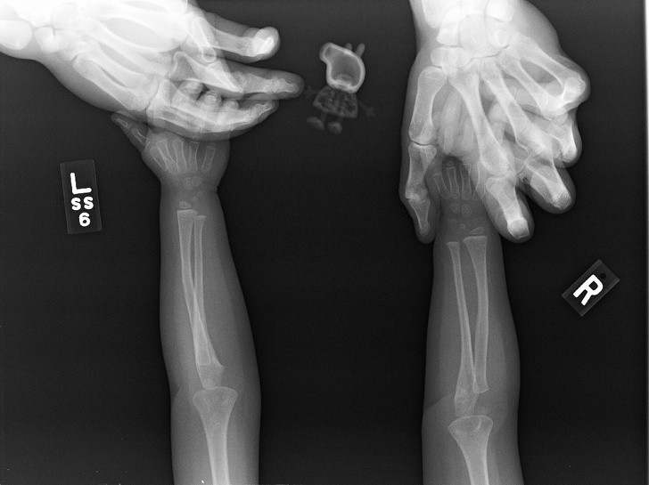
Röntgenfoto het is een van de beste uitvindingen van de mensheid en in sommige situaties onmisbaar. Vooral omdat het vaak voorkomt dat mensen, vooral kinderen, ze slikken voorwerpen in die geen deel uitmaken van hun dagelijkse dieet. Om nog maar te zwijgen van de honden die op alles wat ze zien proberen te kauwen en daardoor vaak ongepaste dingen doorslikken.
Radiologen zijn al aardig gewend aan het zien op röntgenfoto’s vreemde dingen en sommige hiervan die we voor u in de galerij hebben verzameld, verrasten hen helemaal niet. Hier is 15+ gehackte en soms schokkende röntgenfoto's.





